1V1D project takes off in Bongo
President Nana Addo Dankwa Akufo-Addo has visited the construction site of the…
0ver 360K students enjoying free SHS – Ofori-Atta
A total of 362,118 first-year students from public Senior High Schools across…
Stop taking economy policies from social media – Ofori-Atta to Minority
Finance Minister Ken Ofor-Atta has advised the Minority in Parliament to desist…
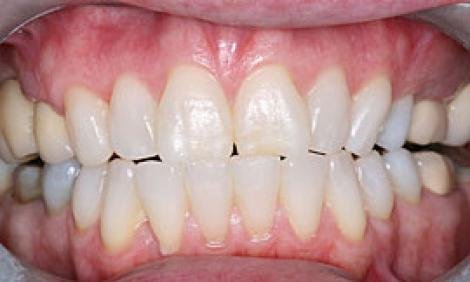
Plaque and Tartar: How to treat the teeth
The terms ‘plaque’ and ‘tartar’ are commonly used in an interchangeable fashion.…
Missing Vehicles: Coalition hails Awoonor-Williams, CHRAJ
Congratulatory statements, streaming from far and wide, are trailing the recent acquittal…
I don’t subscribe to “alien” Gollywood – David Dontoh
Veteran actor David Dontoh has condemned the renaming of Ghana’s movie industry…
SC dismisses Azar’s application over Law School entry exam
Constitutional Lawyer Prof Kwaku Asare's application seeking for an interlocutory injunction on…
Ban on fishing will increase child trafficking – Challenging Heights
Anti-Human trafficking NGO, Challenging Heights is demanding the immediate suspension of the…
Indonesia: 292 crocodiles killed to avenge man’s death
Indonesian villagers armed with knives, hammers and clubs slaughtered 292 crocodiles in…
‘Fool Me Once’ based on real life story – Y’akoto
German Ghanaian-born singer Y’akoto has said her hit song “Fool me once”…

